Smile in a day implants in Preston

In the world of dentistry, treatments are constantly emerging to provide patients with more efficient, less invasive, and quicker solutions to their dental issues. Smile in a Day implants stand out as a revolutionary procedure designed to restore smiles to their full glory, literally within a day.
Let’s explore the features of Smile in a Day implants, illustrating how they’re changing lives and smiles across the globe.
What are Smile in a Day implants?
Do you suffer from loose or missing teeth? Smile in a day implants is a dental procedure that allows those suffering from tooth loss to get a full arch of dental implants in just one appointment. This procedure uses advanced dental technology and strategic planning to place four to six dental implants in areas of the jaw with higher bone density. These implants act as anchors for a full arch of prosthetic teeth, providing immediate function and aesthetic appeal.
The precision and efficiency of this method mean that patients can walk in with significant tooth loss and walk out with a full set of functional, aesthetically pleasing teeth.
Smile in a Day implants are often also called All-on-4 or full arch rehabilitation. So if you have heard these floating about – don’t be confused, they all mean the same thing!
What happens if missing teeth aren’t addressed?

Missing teeth aren’t just a cosmetic concern. They significantly impact dental health, leading to difficulties in eating, nutritional deficiencies, and jawbone loss – which can change your facial structure. Full arch implants solve these issues, mimicking the strength of natural teeth to improve chewing, ensuring a balanced diet, preserving jawbone health, and maintaining your facial appearance, boosting overall health and confidence.
More benefits of Smile in a Day implants
- Get immediate results:The most obvious advantage is the immediacy of the outcome. The process of dental implants can take weeks. Eating, speaking, or even just laughing with friends can become a challenge, you just want your smile back without any delay. With Smile in a Day implants, you don’t have to wait. The temporary prosthetic teeth are installed on the same day as the implant surgery, meaning you can leave the dental office with a full set of brand new teeth.
- Improved oral health:This procedure not only restores teeth but also preserves jawbone and prevents further bone loss, maintaining facial structure and oral health.
- Enhanced quality of life:With a new set of teeth, patients experience improved speech, better chewing ability, and a boost in self-confidence.
- Cost-effectiveness:Compared to traditional implant procedures that may require multiple surgeries and appointments, Smile in a Day is often more cost-effective and less time-consuming.
Transform your smile in just one day
Completely restore the entire arch of your teeth in one visit. Regain your confidence and live life without restraints with our Smile in a Day implants. Book a free consultation to get started.
The procedure: What to expect

It takes just 3 months to transform your smile and regain your confidence. You can get full arch implants for only £12,900, or £260 pcm over 60 months using our finance package
Initial Examination and planning
Our dental professionals conduct a comprehensive clinical examination to assess your oral and general health. If the procedure is suitable for you, we’ll explain the process in detail to ensure you understand what to expect.
Using state-of-the-art technology, including CT and intra-oral scanners, we will plan your treatment meticulously. These digital tools help us create a precise map of your mouth, ensuring the optimal placement of your implants.
Surgical day
On your appointment day, our dedicated team will place your implants and secure a provisional bridge to them, all on the same day. The practice will be fully dedicated to your care, ensuring a smooth and comfortable experience.
Three-month follow-up
Three months after the surgery, we’ll begin the process of replacing your provisional bridge with a final one. This typically involves three appointments. The final bridge is designed to be more durable and natural-looking, enhancing both your smile and oral function.
Our flexible payment plans help you spread the cost
Don’t let the cost of treatment prevent you from getting the smile you’ve always wanted. Make it easier by spreading the cost with our finance options.
Meet our Smile in a Day team
Our Smile in a Day team is a carefully selected group of experienced professionals, each dedicated to providing you with the best possible care.
- Jenna: Your go-to for scheduling and answering any questions related to your Smile in a Day treatment.
- Nadim: Our dedicated and experienced implant surgeon. With Nadim, you’re in skilled hands throughout your procedure.
- Ramin: As a Clinical Dental Technician, Ramin expertly fits your customised bridge on the day of the surgery, ensuring comfort and a natural look.
- Naomi: As our implant nurse, Naomi’s expertise adds an extra layer of care during your surgery, ensuring a smooth and comfortable experience.
“I had to have a lot of work done. I was so embarrassed by the state of my teeth that I cried when I had my first consultation. The minute I walked into lifestyle dental I felt at ease. The staff are absolutely amazing. I had to have many visits and they have worked wonders for me. Built up my confidence for not only going to the dentist, but now I can finally smile.”
Can anyone get Smile in a Day implants?
Smile in a Day implants are ideal for individuals with significant tooth loss looking for a fast and effective solution. However, suitability depends on individual oral health conditions, so a thorough evaluation by a dental professional is necessary.
Is the procedure painful?
When it comes to the discomfort associated with Smile in a Day implants, advanced sedation and anaesthesia methods are applied to make the experience as pain-free as possible, with minimal discomfort following the procedure.
How long do the implants last?
With proper care and maintenance, Smile in a Day implants can last many years, often a lifetime.
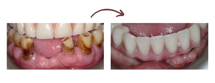
Do you have any before and after photos of All on 4 dental implants?

How do I care for my Smile in a Day implants?
Caring for your implants involves regular brushing, flossing, and dental check-ups, much like your natural teeth. Proper oral hygiene practices are crucial for maintaining the health and longevity of your implants.
Smile in a Day implants represent a significant leap forward in dental technology, offering patients a fast, reliable, and effective solution to tooth loss. By transforming smiles in just one appointment, this procedure is not just changing smiles; it’s changing lives.
For those considering this life-changing procedure, get in touch today to book your free consultation.
Braces at Lifestyle Dental and Implant Clinic